We are here to treat your dental emergency

3165 Mt Pleasant Street NW
Washington, DC, 20010

Dentistry Before and After Photos in Washington

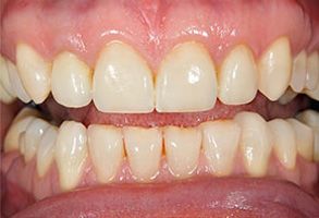
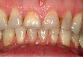
before

Before

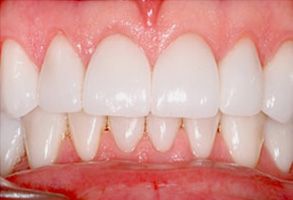
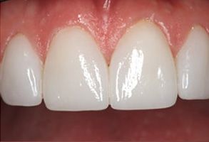
after

After

Mt. Pleasant Family Dental | Oral Cancer Screening, Dental Fillings and Preventative Program

Before

Mt. Pleasant Family Dental | Sports Mouthguards, Snoring Appliances and Orthodontics

After

Mt. Pleasant Family Dental | Emergency Treatment, Root Canals and Oral Exams

Before

Mt. Pleasant Family Dental | Orthodontics, Emergency Treatment and Dentures

After

Mt. Pleasant Family Dental | Veneers, All-on-6 reg  and Dental Sealants

Before

Mt. Pleasant Family Dental | Oral Cancer Screening, Emergency Treatment and Preventative Program

After

Mt. Pleasant Family Dental | Invisalign reg , Teeth Whitening and Snoring Appliances

Before

Mt. Pleasant Family Dental | Oral Exams, Dental Fillings and Digital Impressions

After

Mt. Pleasant Family Dental | Implant Dentistry, TMJ Disorders and Teeth Whitening

Before

Mt. Pleasant Family Dental | Invisalign reg , Snoring Appliances and Veneers

After

Mt. Pleasant Family Dental | Digital Impressions, Implant Dentistry and Extractions

Before

Mt. Pleasant Family Dental | Emergency Treatment, Dentures and Oral Exams

After

3165 Mt Pleasant Street NW
Washington, DC, 20010